2026年4月15日号
設 問 次の文章の空欄に当てはまる言葉を答えよ。
① SGLT2 阻害薬内服中 +「なんとなく不調」
→まずは, を思い出す。
② 尿蛋白陽性の CKD の病歴に低出生体重が背景にある場合
→残存ネフロンの過剰濾過是正に は理にかなう。
③ 3か月以上間隔で2〜3回測定し,eGFR が mL/min/1.73m2 以上低下
→原因精査・治療最適化目的で腎臓内科紹介を検討する。
解 答 ① 尿定性でケトンチェック ② SGLT2 阻害薬 ③ 4
設問 1 慢性腎臓病の早期診断のために必要な検査は何か?
解答 1 eGFR と尿定量検査
解説 1 eGFR<60,もしくは尿たんぱく >0.15g/gCr(定性では+/−から1+以上)の場合には慢性腎臓病と診断されリスクに応じた治療介入が必要である。
設問 2 糖尿病関連腎臓病に対して予後改善効果を有する4種の薬剤を述べよ。
解答 2 RAS 抑制薬,SGLT2 阻害薬,GLP1 受容体作動薬,ミネラルコルチコイド受容体阻害薬
解説 2 これらの薬剤を効果的に組み合わせることで,寛解を目指すことができる。
設問 1 マスクの種類を問わずインテンショナルリークであれば動作に影響を与えることはないか答えよ。
解答 1 インテンショナルリークであっても装置に設定されたリーク量を上回れば動作に影響を与える。
設問 2 リーク量と呼吸仕事量は関連性があるか答えよ。
解答 2 リーク量の増加は呼吸仕事量の増加につながる可能性が高い。
設問 1 ERS2025 における成人気管支拡張症患者に対する気道クリアランス手技(ACT)に関する推奨レベルとエビデンスの確実性の組み合わせが正しいものを選択せよ。
① ACT を指導することを推奨する (弱い推奨,確実性:高い)
② ACT を指導することを推奨する (強い推奨,確実性:極めて低い)
③ ACT を指導することを推奨しない(弱い非推奨,確実性:極めて低い)
解答 1 ②
解説 1 ERS2025 では従来より適応が拡大され,慢性的な喀痰を有する症例以外でも CT で粘液栓を認める場合や増悪期において ACT は有益となり得ることが明記されている。さらに,生理学的な合理性が高いことや,有害事象が少なく低コストであることから,強い推奨度となっている。エビデンスの確実性は,バイアスリスクの高さと不正確さのため,極めて低いと判定されている。
設問 2 気管支拡張症患者に対して吸入療法や気道クリアランス手技(ACT)を実施する順番として最適なものを選択せよ。
① 吸入抗菌薬 → 気管支拡張薬/去痰薬 → ACT
② 吸入抗菌薬 → ACT → 気管支拡張薬/去痰薬
③ 気管支拡張薬/去痰薬 → ACT → 吸入抗菌薬
④ ACT → 気管支拡張薬/去痰薬 → 吸入抗菌薬
解答 2 ③
解説 2 気管支拡張薬 / 去痰薬で痰が出やすい状態にした上で ACT を行うことによって効率的な排痰が可能となる。
さらに気道クリアランスが最適に保たれた状態で抗菌薬を吸入することで病変部位に効果的に薬剤を届けることが可能となる。
設問 1 COPD 増悪に対し,まず行うべき薬物療法は何か?
解答 1 短時間作用型β刺激薬(気管支拡張薬吸入)
解説 1 COPD 増悪における第一選択薬は短時間作用型β刺激薬(Short-acting inhaled beta2-agonists:SABA)となる。
設問 2 呼吸不全の悪化した COPD 増悪に対する呼吸管理の第一選択は何か?
解答 2 非侵襲的陽圧換気療法(NPPV)
解説 2 COPD 増悪に対する NPPV は気管挿管を回避し,死亡率を改善することが知られている。
設問 3 重篤な COPD 増悪の方針決定において,最も重視するべきことは何か?
解答 3 患者の意向(自立意思尊重)
解説 3 COPD のような慢性疾患において,事前からの ACP が重要なのは言うまでもないが,その上での実際の意思決定においては病態,治療反応性や予後予測なども踏まえた上での「患者自身の意向」が重要。
設問 1 緩和領域の IVR はどのような病態や臨床状況で,あるいはどのようなタイミングで考慮されるか。また適用はどのようにすればよいか述べよ。
解答 1 と 解説 1
オピオイドや利尿剤など薬物療法に抵抗性であったり,侵襲性の問題で外科手術が行いづらい場合に考慮する。がん診療では初診時から終末期までの全時相で適用が可能。
具体的には腫瘍痛,管腔狭窄,難治性腹水,臓器破綻,痛くて煩わしいチューブの取り扱い,そのほか非定型的な状況に対して考慮される。臓器や良悪性疾患を問わず適用できることも特長。
実際には,IVR 医とよく協議して適用を決定する方が良い。難しい状況でも,病態や技術の正しい理解があれば適用を広げることができる。
設問 2 腫瘍痛に対する IVR の内容と適応を述べよ。
解答 2 と 解説 2
IVR の内容として,組織壊死術,内臓神経ブロック,骨セメント,腫瘍凝固術,腫瘍塞栓術が挙げられる。
一般に,薬物療法や放射線治療で制御不能な痛みが適応となる。
体動時の骨転移の痛みは病的骨折による骨の脆弱性が原因であるため,脆くなった骨を固定できる骨セメントが有効。主に荷重骨,脊椎骨や骨盤骨に使用される。
逆に安静時の痛みは腫瘍自体が発するものであるため,腫瘍の活性を低下できる熱凝固術や血管塞栓術が有効。
また,神経障害性疼痛や腹膜播種による腹膜痛には効きづらいといわれている。
設問 3 難治性腹水に対する IVR の内容と適応を述べよ。
解答 3 と 解説 3
一概に難治性腹水といっても,性状や病態により適応が異なる。まず腹水性状による分類診断が重要。
腹膜播種によるがん性腹水には,腹腔静脈シャント(PVS,デンバーシャント)によって,腹水を直接血管に還するが,合併症には注意。肝硬変による肝性腹水には,門脈静脈短絡(TIPS)によって高くなった門脈圧を減圧するが,肝機能評価など厳しい適応判断が必要。門脈狭窄に起因する腹水には,金属ステントを用いた経皮門脈形成術によって門脈血流を再開通する。リンパ性腹水には,リンパ管閉鎖術によって,破綻して漏出源となっている箇所のリンパ管の流れを塞ぐ。これらは1対1対応でなく,絶対にこれが良いというものではなく,1つが難しければほかを適用することもある。
設問 1 〈症例〉60 歳代 男性:10 年ほど前に Hp 除菌治療をうけたが,除菌判定をしたかどうかは覚えていないという。職場ではリスク検診が毎年実施されており,今年はB群と判定された。
PG Ⅰ 50.0ng/mL(基準値 70.1ng/mL 以上)
PG Ⅰ/Ⅱ 4.6(基準値 3.1 以上)
Hp 抗体価 12.5 U /mL※実症例を基に改変
精査目的で実施した EGD を示す。適切な対応はどれか?
A) Hp 現感染であり,Hp 除菌治療を行う。
B) Hp 既感染であり,1〜2年ごとの EGD を勧める。
C) Hp 感染状況診断は困難であり,次年度も職場のリスク検診をうけるよう指導する。

解答 1 B)
解説 1 EGD 像は典型的な Hp 既感染である。
前庭部は,血管透見をともなう褪色調粘を呈している。
胃角対側大彎見下ろし像では,腺境界と思われる領域の肛門側に地図状発赤を認め,口側は正色調である(びまん性発赤の消失)。前壁側には腺窩上皮の過形成を示唆する白色調粘膜がみられる。
胃体小彎見上げ像では,前壁・後壁に軽度の凹凸をともなう白色調粘膜を,体上部小彎には地図状発赤を認める。Hp 現感染とは一見あたかも発赤領域が逆転しているかのように見え,発赤の逆転現象とも呼ばれている。体中部小彎にリンパ濾胞の残存を反映すると思われる小円形領域が散在している。
体部大彎見下ろし像では,褪色調と正色調粘膜が混在している(びまん性発赤の消失)。
点状発赤がみられるが,Hp 現感染に特異的な所見ではない。
設問 2 〈症例〉50 歳代女性。昨年の胃内視鏡検診時に Hp 感染性胃炎を疑われ,病院を受診したが「血清 Hp 抗体価:3未満」で除菌適応はないと言われたという。Hp 除菌歴はなく,胃薬等は服用していない。今年の胃内視鏡検診で以下の所見を得た。
※実症例を基に改変
追加する検査,あるいは指導として適切なのはどれか?
A) 生検を含む精査内視鏡と全身検査を勧める。
B) 13C-UBT の追加実施で Hp 感染状況を再度確認するよう勧める。
C) 萎縮性胃炎があるので,定期的なな EGD を勧める。

解答 2 A)
解説 2 本例は中期AIGである。残存胃底腺(remnant oxyntic mucosa:ROM)と呼ばれる非萎縮性粘膜を広範囲に認め,胃体大弯では縦走傾向を示し,胃体小弯では不規則に分布している。AIGの前庭部は必ずしも正常ではない。本例ではこのように積極的にAIGを疑う所見を認めたが,対策型胃内視鏡検診では,「胃がん疑い」のない良性疾患(胃炎を含む)に対する同時生検は原則として認められていない。そのため2次精査EGDに誘導した。
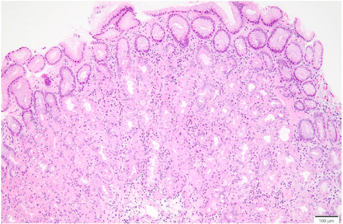
AIGの確定診断には組織診断が必須である。病理依頼時にはAIGを疑っている旨を明確に伝え,可能であればGastrinとChromogranin A染色を依頼する。本症例の胃体部ROM内部から採取された組織像は,壁細胞の変性,深部腺優位のリンパ球浸潤と第2層・第3層の不明瞭化を認め,典型的な早期AIGの組織所見を呈していた(下図)。
AIG例では甲状腺疾患をはじめとする自己免疫性疾患やVB12欠乏・鉄欠乏などの全身チェックに加え,NET type 1や胃癌のハイリスクであることを説明した上で,診療現場での定期的なEGD検査を勧奨すべきである。
なお,本例のような比較的容易に ROMを認識できるケースは実はあまり多くない。13C-UBT と RUT 以外の検査で Hp 現感染でないと判断できる場合,講演中に触れたように,WLI では非萎縮域n軽度のびまん性発赤と胃小区腫脹,拡大 NBI での比較的特徴的な所見から,AIG の可能性をいつも意識することが発見の糸口となる。

設問 1 本邦の大腸がん検診の対象年齢はどれか?
① 20 歳以上
② 30 歳以上
③ 40 歳以上
④ 50 歳以上
⑤ 60 歳以上
解説 1 ③
設問 2 本邦の大腸がん検診で採用されている検査方法はどれか?
① 便潜血化学法
② 便潜血免疫法
③ 大腸 CT
④ S状結腸内視鏡
⑤ 全大腸内視鏡
解答 2 ②
設問 3 便潜血陽性者の腺腫検出割合の目標値はどれか?
① 20%
② 30%
③ 40%
④ 50%
⑤ 60%
解答 3 ④
設問 1 社会的フレイル評価ツールとは何か?
解答 1 牧迫(Makizako)の社会的フレイル5項目
解説 1 主に以下の2つ以上該当で「社会的フレイル」と判定される。
1.昨年と比べて外出の頻度が減った(はい)
2.友人の家を訪ねる(いいえ)
3.友人や家族の役に立っていると感じている(いいえ)
4.独居である(はい)
5.毎日誰かと話している(いいえ)
設問 2 訪問看護師の役割とは何か?
解答 2 その人らしく暮らし,生きることの支援
解説 2 ・心身の機能の維持回復
・生活機能維持と向上
・専門性の高いケア
設問 1 2025 年心不全診療ガイドライン改訂において,心不全への進展防止や早期介入の重要性を考慮し,「ステージA(心不全リスクがあるが構造的異常はない状態)」に新たに追加された疾患はどれか?
① 高血圧
② 糖尿病
③ 慢性腎臓病
④ 脂質異常症
解答 1 ③
設問 2 2025 年改訂心不全診療ガイドラインにおいて,症候性 HFmrEF(LVEF40-49%)患者に対し,推奨クラスⅡa(考慮すべき)以上の適応とされている薬剤はどれか?
① SGLT2 阻害薬
② ARNI(サクビトリルバルサルタン)
③ MRA(フィネレノン)
④ 上記のすべて
解答 2 ④
設問 1 各種細菌感染症における抗菌薬適正使用のポイントは何か?
解答 1 抗菌薬の使用量を減らすことが適正使用ではない。
また,同じ薬剤に偏った使用は耐性菌を選択するので,抗菌力を示す薬剤を使い分けることがポイントになる。
設問 2 インフルエンザや COVID-19 との混合感染で気をつけたい細菌は何か?
解答 2 黄色ブドウ球菌である。以前は肺炎球菌が問題になったが高齢者におけるワクチンの普及などにより減少している。
設問 3 抗菌薬を含め薬剤の供給不安定が続いているが今後の見通しと薬剤選択のポイントは何か?
解答 3 ペニシリン系とセファロスポリン系抗菌薬原料の国産化が本年より開始された。市場への国産薬の供給はまだ先だが,先発医薬品は安定供給可能である。
特に感染症領域では先発医薬品の積極的な選択も考慮すべきである。